有些人大推、但有些人覺得很傷牙齒勸說絕對不要去做
但我做完這兩年覺得還滿值得的

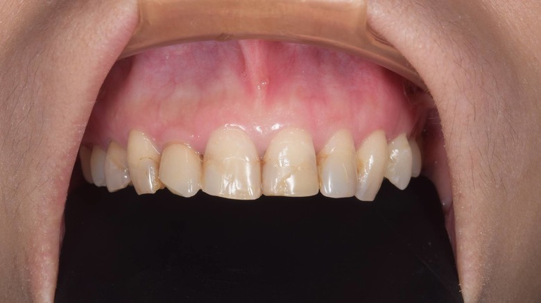
當初會想做,是因為我的牙齒天生比較黃,
加上門牙那幾顆以前補過好幾次,顏色看起來很不均勻


諮詢了幾間後還是決定做下去了~


【生活改變部分】
最明顯的當然是自信心,以前拍照不太愛露牙齒的,不然就是傳照片會刻意去修牙齒
我當時有跟醫師討論,我不想要那種太死白的假牙感,所以醫師幫我設計成稍微偏方正、大顆一點的門牙型態,看起來比較有歐美那種大氣的感覺
【大家可能會擔心的點】
在做之前,我也爬過很多文,很多人說做了會牙齒酸軟、貼片掉落,或是容易口臭
說實話,風險的確存在,但我這兩年半下來沒遇到就是
我覺得關鍵就是清潔習慣
很多人以為做了貼片牙齒就不會壞,這觀念就不太對
實際上,做貼片前會需要微量磨掉原本的琺瑯質,雖然磨得不多,但牙齒的原生防線還是變薄了一點,另外貼片跟牙齒之間雖然密合到沒有縫隙,但是交接的邊緣會是清潔的重點
如果交界處沒注意,可能會導致蛀牙,這也是網路上很多人不推貼片的地方
所以我這兩年反而比以前更注重清潔
牙線是基本: 每天睡前一定每一縫都不放過,因為如果貼片裡面的牙齒蛀掉,那整顆貼片可能都要拆掉重做,那才是真的大工程
餐後漱口: 維持牙齒健康的好秘訣,一開始雖然嫌麻煩,但養成習慣就成自然了
個人大推好事多的TheraBreath漱口水,真的試過無數款,用一次至少12小時嘴巴完全不會臭(睡隔天起床也一樣,超猛)
總之,做了陶瓷貼片這兩年,牙齒的狀態都還維持得跟剛做完一樣好
如果你也是那種因為牙齒黃或亂有想做貼片的人
建議可以去多諮詢幾間專業的診所
後續維持好衛生習慣,其實都可以保持得很好



























































































