希望有看得懂頸椎X光或是MRI的大師,或是有類似症狀的前輩能夠指點迷津。感謝!
小弟因為打球導致右肩關節盂唇撕裂傷,在今年一月中右肩接受PRP注射治療,
因為打完之後右肩痠痛,所以晚上都採取左側睡(不過不知道這是不是原因),
症狀是從今年2/6號開始的,晚上的時候左側睡,睡醒後右手掌發麻(尤其是無名指和小指),
但甩兩下就馬上好了,所以不以為意,不過接下來連續三天都一樣的症狀,
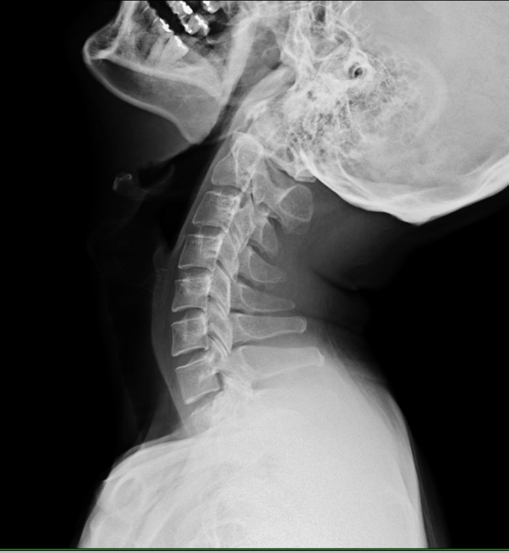
我就去了附近的軍醫院掛了骨科,照了兩張頸椎X光後,醫生說沒事(口氣挺不好),
只說頸椎有點直,叫我回去休息就好...


於是接下來幾天不敢再左側睡,就採取正睡和右側睡,但是沒想到,上背開始痛了起來,
連左手掌也開始麻(尤其是無名指和小指),而且開始整天都麻,就算甩手也沒用,
於是趕緊再去掛了一間骨科(復健科),這次醫生看了X光說,C4、C5、C6有增生!?
而且頸椎變直,叫我要拉脖子復健,就這樣做了半個月的復健,完全沒有好轉,
而且神奇的是,每拉完一次脖子,隔天雙手就會更麻,所以就不敢再去復健。
到了三月,症狀開始有些改變,從原本的手麻+背痛(上背中間位置),
慢慢變成雙手內側,一路從小指和無名指、手腕、手肘、腋下,一直到肩胛骨痠痛
(google了一下應該是尺神經?)
麻的感覺卻慢慢減少,變成早上睡醒雙手的小指會僵住,要用力活動個3~5分鐘才會回復,
但是一整天雙手內側(尤其是肩胛骨)非常痠痛,感覺是種深沉的不舒服,不是表面的,
由於已經不舒服到甚至我無法靠在椅背上,雙手又痠痛影響日常生活,
於是我在三月底又去掛了神經外科和神經內科,
這次神經外科還是懷疑是頸椎有問題,又幫我照了不同角度的頸椎X光,




醫生看完後說看起來也沒什麼問題,但是我看到X光檢驗師的報告卻寫懷疑C3、C4、C5輕微狹窄?
請問有人看的出來嗎?
後來醫生說他幫我轉神經內科做肌電圖和神經傳導測試,於是我就去做了檢查,
醫生也說一切正常,(但是我就是非常的不舒服耶...),不然在安排胸椎MRI看看好了,
所以我在四月初又做了胸椎MRI,


(不知道該截哪一段,所以截了最中間的兩張MRI)
報告出來了,也說沒有問題,醫生也束手無策,說只能用肌腱炎來解釋我的症狀了,
叫我不然去看風濕免疫科看看,於是開了B群叫我回家吃,再觀察一下。
所以我又掛了風濕免疫科,驗了發炎指數和風濕性關節炎等等,指數全都正常,
醫生說,那我只能用風濕病來解釋你的病情了,開了消炎、止痛藥,叫我再觀察。
來到了四月中,經朋友介紹去看了中醫,中醫說我這是內傷(!!??),開了一帖水藥叫"身痛逐瘀湯",
結果喝了三天之後,變得更劇痛,馬上不敢再喝,疼痛也就一直持續。
四月底,實在是覺得不行,只好再去找台大的神經內科,這次醫生聽完了我的病情後,
他認為我的病因無關頸椎、胸椎,叫我不要再去拉脖子,越拉越糟糕,
他說我應該現在是屬於"神經敏感",(我的天啊!又不一樣了)
他說人一生當中就是有些時期神經比較敏感,因為神經敏感發炎而導致筋膜發炎和肌腱發炎,
他也說不出成因,也不敢跟我保證甚麼時候會好,於是開了一罐抗癲癇的藥水讓我喝喝看,
說是可以緩解神經痛,看看會不會改善。喝了一個星期的藥水後,疼痛從劇痛降為隱隱作痛,
雙手小指依舊晨僵,肩胛骨和雙手內側依舊痠痛(以滿分10分來說大概從7~8分降到3~4分吧)
於是我喝了三個星期,但是也就一直維持這樣的症狀,沒有再更進步。
五月中,老婆看我還是不舒服,又幫我找了一個腦脊隨神經博士,
這次他認為我的症狀是因為頸椎變直加上之前的睡姿不良導致神經壓迫,
進而神經發炎引發筋膜炎和肌腱炎,他說我要做的是肌力訓練,
因為神經發炎10天就會導致肌肉萎縮1/3,說我的右肩胛骨的肌肉已經萎縮了,
回家後一看,兩邊肩胛骨還真的一高一低而且一前一後...
我一直有運動的習慣,也維持每天都跑3KM,做肌力訓練對我來說不是難事,
於是就一直做運動到現在,但是症狀也就一直始終維持著...
四個多月下來,每次去不同的醫生都有不同的說法,問題也始終沒有根治,實在很困擾,
有沒有看得懂X光和MRI的大師能幫我看看,到底我是"神經壓迫"還是"神經敏感"???
或是有同樣經驗的朋友能分享一下,謝謝各位!





)


























































































